An underbite is not just an aesthetic problem affecting your self-esteem.
An underbite is not just an aesthetic problem affecting your self-esteem.
Left untreated, it can also lead to health problems like chronic headaches, speaking and eating difficulties, jaw pain and tooth decay from excessive wear of your tooth enamel.
But just because you have an orthodontic problem, it doesn’t mean that it’s untreatable.
Today orthodontics professionals are using cutting-edge technology and innovation to make incredible improvements to your confidence and smile.
And underbite correction is no longer as invasive, tedious or painful as it used to be.
Surgical intervention is only necessary when there is a more serious skeletal problem responsible for the bad bite. In many cases, you can correct your underbite without surgery.
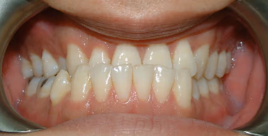
An underbite, also known as prognathism, is a malocclusion or bad bite that occurs when your lower teeth overlap the upper teeth.

You can have a mild underbite, where the two rows of teeth almost meet; and a more severe case wherein the teeth don’t meet at all.
There are several factors that can cause a person to develop an underbite.
These include:
Diagnosing an underbite is more than just a quick glance—it’s a thorough process that involves a few key steps to ensure accuracy and effectiveness in treatment. Your orthodontist will start with a clinical examination where they’ll check how your teeth align when you bite down and evaluate any irregularities in jaw movement.
To get a clearer picture, they might use X-rays. These images allow them to see the alignment of your teeth and jaws beneath the surface, helping them assess the severity of the underbite and plan the best course of action. Think of it like getting a detailed map before setting out on a road trip—you need to know the route to get to your destination smoothly.
Catching an underbite early on can make a world of difference. If addressed while the teeth and jaws are still developing—often during childhood—treatment can be more straightforward and less invasive. Early diagnosis allows for preventive measures that can correct the alignment before more serious issues arise. This proactive approach not only improves the effectiveness of the treatment but also reduces the likelihood of needing more complex procedures later on. It’s like fixing a small leak before it turns into a flood—taking action early saves you from bigger problems down the road.
To correct an underbite without surgery in kids and adults, there are 2 main options:
As we said, the earlier an underbite is addressed, the better. Kids from the age of 7 can start seeking corrective orthodontic treatment.
Braces are commonly used to correct both mild and severe underbites by gradually moving the teeth into proper alignment. In some cases, especially for more severe underbites, extracting one or more teeth from the lower jaw may be necessary to create space and improve the overall appearance and function of the bite.
Don’t worry, the process is completely painless. A dental specialist will apply a local anaesthetic to the area of the tooth to be pulled. You won’t feel anything beyond a slight pressure.
You may also be prescribed to use the upper jaw expander or the “reverse-pull” face mask at night to either widen the upper jaw or pull the lower jaw back into the correct alignment.
When it comes to correcting an underbite, not all braces are created equal. Here’s a rundown of the main types you might encounter, each with its own set of perks:
In some cases, braces alone might not be enough to fully correct an underbite, and additional orthodontic appliances may be needed to enhance the treatment outcome. One common appliance is headgear, which helps adjust the position of the jaw and teeth by applying gentle pressure. Typically worn at home or during sleep, headgear plays a crucial supporting role, much like an extra boost that helps braces do their job more effectively.
Another appliance, the palatal expander, is used to address a narrow upper jaw. It gradually widens the upper jaw to create more space for proper alignment. Think of it as giving your jaw a little extra room to grow into the right position.
Our specialist will help to find the right option for you.
While metal braces are more commonly used for moderate to severe underbites, clear braces such as Invisalign may also be an option for milder underbite problems.

Invisalign is a modern approach to straightening teeth that uses a series of clear, custom-made aligners. The process begins with 3D imaging, which provides a detailed view of your teeth and jaw. This advanced technology creates a digital model of your mouth, allowing your orthodontist to map out the precise movements needed to achieve your ideal smile.
Based on this model, a series of custom aligners is crafted specifically for your teeth. Each aligner is slightly different, designed to gradually shift your teeth into the correct position over time.
You will need to wear these aligners for at least 22 hours per day for up to one year to slowly correct your underbite. The main limitation with this is that if aligners are not worn as directed, the treatment could be delayed.
Invisalign is often used with dental elastics. These elastic bands are attached to “buttons” on the Invisalign aligners and provide more force to improve how your teeth fit together.
Determining the right underbite correction method begins with a consultation at Hampstead Orthodontic Practice, where our orthodontists assess the severity of your underbite.
We will then develop a personalised correction plan and go over the best strategies to give you the results you are looking for.
Schedule your consultation with one of our doctors here to determine the correct plan for you.